Surgical treatment of an enormously large adrenal-origin retroperitoneal mass causing compressive symptoms
DOI: 10.22591/magyurol.2025.3.gibaj.119
Authors:
Giba Judit dr.1, Kovács Tünde Enikő dr.2, Nehéz László dr.2
1Észak-pesti Centrumkórház – Honvédkórház, Urológiai és Andrológiai Osztály (osztályvezető főorvos: Kovács Gábor dr.)
2Észak-pesti Centrumkórház – Honvédkórház, I. Sebészeti Osztály (osztályvezető főorvos: Fekete László dr., PhD)
Summary
This case report describes a 68-year-old male patient who underwent surgery for a large retroperitoneal mass of adrenal origin, performed due to the suspicion of malignancy. The lesion caused significant compression of adjacent structures. Comprehensive diagnostic workup, including imaging and endocrinological evaluation, was carried out but could neither confirm nor fully exclude malignancy. Given its potential malignant nature, the mass was completely resected. Histopathological examination revealed no evidence of malignancy; instead, areas of adrenal tissue and an organized, long-standing hematoma were described. This case highlights the diagnostic and therapeutic challenges of adrenal space-occupying lesions, and emphasizes the pivotal role of surgical management in cases of large masses with uncertain pathology.
LAPSZÁM: MAGYAR UROLÓGIA | 2025 | 37. ÉVFOLYAM, 3. SZÁM
Összefoglaló
Jelen esetismertetésben egy 68 éves férfi beteg ellátását mutatjuk be, akinél jelentős méretű, mellékvese-eredetű retroperitonealis térfoglalás, malignus folyamat gyanúja miatt végeztünk műtétet. A folyamat jelentős környezeti kompressziót okozott. A részletes kivizsgálás során képalkotó vizsgálatok és endokrinológiai kivizsgálás történt, amelyek malignitást sem kizárni, sem teljes bizonyossággal megerősíteni nem tudtak. Az elváltozást potenciális malignitása miatt in toto távolítottuk el. A kórszövettani vizsgálat malignitást nem, foltokban mellékvese szövettani képét, illetve régi, szervült haematomát írt le. Az eset rámutat a mellékvese-térfoglalások diagnosztikai és terápiás nehézségeire, valamint a sebészi ellátás kulcsfontosságára nagyméretű, bizonytalan természetű elváltozások esetén.
Bevezetés
A mellékvese-térfoglalások ritkák, diagnosztikájuk és kezelésük kihívást jelenthet (1, 5). A korszerű képalkotó technikák ellenére a térfoglalások pontos természetének meghatározása gyakran csak a műtéti eltávolítást követő kórszövettani vizsgálat alapján lehetséges. A 4-6 cm-nél nagyobb elváltozások malignitási potenciálja jelentős, így ezek sebészi kezelése általában javasolt, még hormonális aktivitás hiányában is (2, 6). A mellékvese-eredetű, hormonálisan inaktív, de jelentős méretű térfoglalások kompressziós tüneteket okozhatnak. Az óriás mellékvese-elváltozások szövettani diagnózisa széles spektrumot ölel fel, lehetséges szövettani diagnózisok az adrenocorticalis carcinoma, a (myelo)lipoma, az adenoma, a phaeochromocytoma, schwannoma, neuroblastoma, lymphoma, metasztázis, (lipo)sarcoma (2, 7, 8). Esetbemutatásunk során egy enormis méretű, kompressziós tünetekkel jelentkező mellékvese-térfoglalás sebészi megoldását ismertetjük, és diszkusszióra kerül az eset kapcsán a diagnosztikai, sebészeti dilemmák köre.
Esetismertetés
A 68 éves férfi betegünk anamnézisében hipertónia, 2-es típusú cukorbetegség, benignus prosztatahyperplasia, évtizedekkel ezelőtti varix- és kézműtét, valamint néhány évvel korábban történt esés után a bal humerus törése miatti lemezes fixálás szerepelt. Betegünk 2022 elején jobb oldali, alhasba sugárzó derékfájdalommal jelentkezett reumatológiai szakrendelésen, ahol röntgenvizsgálat alapján spondylosist és lumbosacralis discopathiát diagnosztizáltak, és hasi ultrahangvizsgálatra utalták.
Hasi ultrahangvizsgálat során a máj jobb lebenyének vetületében 16 cm-es inhomogén képletet észleltek, amelynek pontosabb megítélése végett ambuláns CT-vizsgálatot javasoltak. Az elvégzett CT bizonytalan eredetű (máj- és mellékvese-eredetet is felvetett) és malignitású, 18 cm legnagyobb átmérőjű, szélein halmozó, meszesedéseket is tartalmazó képletet írt le.
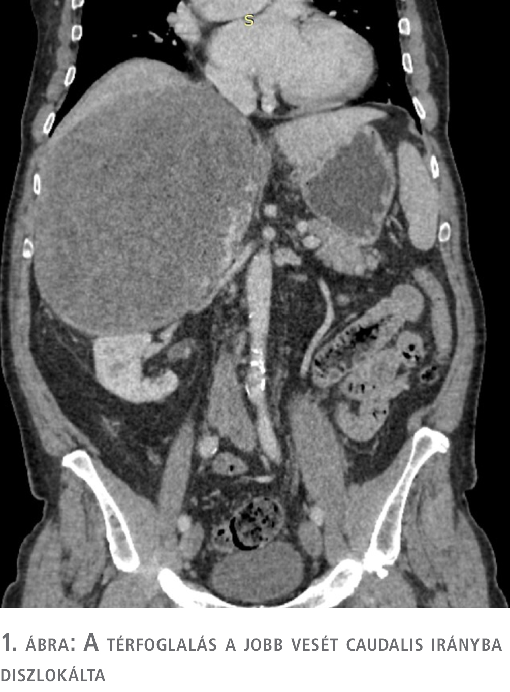
A CT eredménye alapján a szakrendelőből a beteget sürgősséggel az endokrinológiai osztályra utalták további kivizsgálás céljából. Az endokrinológiai osztályos kivizsgálás során ismét CT-vizsgálatot végeztek, amely a térfoglalás májeredetét elvetette, és halmozási dinamikája alapján elsősorban adrenocorticalis carcinomának véleményezte (1–4. ábra). A hormonprofil alapján hormontermelésre utaló eltérés nem igazolódott. ACTH-, DHEA-S-, kortizol-, CgA- és vizeletmetanefrin-szintek meghatározása, valamint negatív eredményű dexametazonszuppressziós teszt történt. A vizsgálatok és a klinikai kép alapján hormontermelő tumor nem igazolódott. Biopsziát nem végeztek, tekintve, hogy terápiás konzekvenciája nem lett volna sem malignus, sem malignitás nélküli eredmény esetén: a terime mérete alapján malignitási potenciálja nagy, ily módon műtéti ellátása csak malignusnak tekintve történhet.




Az elvégzett vizsgálatok alapján egy nem hormontermelő, valószínűleg mellékvese-eredetű, mérete és radiológiai jellemzői alapján malignitást is felvető, környező szerveket diszlokáló és komprimáló terime műtéti eltávolítása abszolút indokolt. A műtét során jobb túlsúlyú bilaterális subcostalis metszésből jutottunk be a hasüregbe, ez a metszésvezetés szükség esetén hosszabbítható, illetve a CT-felvételen látott diszlokált, atípusos helyzetű lig. hepatoduodenale, az aorta és a vena cava inferior ebből a metszésből a legbiztonságosabban megközelíthető, és szükség esetén lefogható. Exploratio során a jobb oldali hasüreget a cristától a rekeszkupoláig kitöltő, retroperitonealis térfoglalást találtunk (5. ábra).

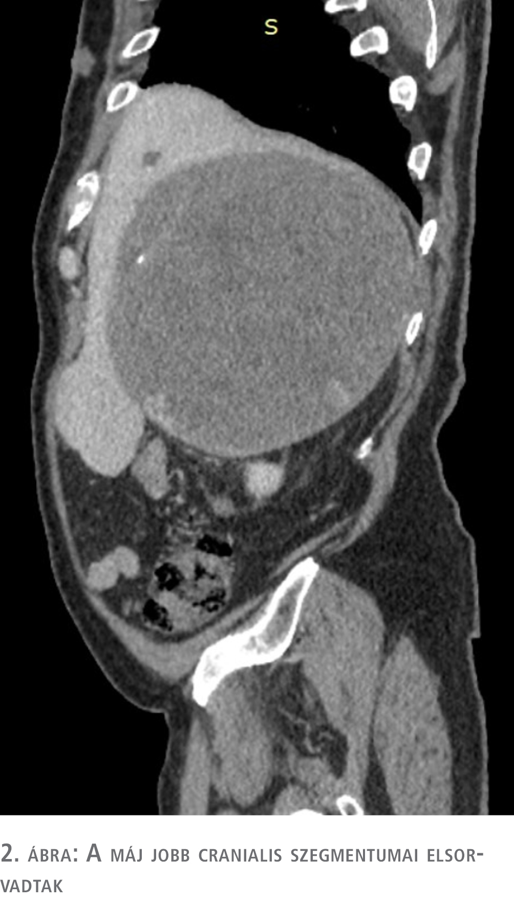
A máj balra diszlokálódott, a jobb cranialis szegmentumai elsorvadtak, a térfoglalás a vena cava inferiort felemelte és komprimálta, a vesét caudalis irányba diszlokálta. A máj mobilizálása után a terime fluktuáló részletéből intraoperatív citológiai mintát küldtünk, amely a vérből alakos elemeket és kevés histiocytát tartalmazott, így malignitást sem kizárni, sem megerősíteni nem tudtunk, így a térfoglalást továbbra is potenciálisan malignusnak tekintve, onkológiai-sebészeti elvek alapján in toto eltávolítás mellett döntöttünk (6. ábra).

A térfoglalást környező szervekről (máj, vese, nagyerek) lepreparáltuk (8. ábra), a térfoglalásba futó ereket klipekkel, illetve elektrodisszekciós eszközzel láttuk el, a terime a rekesztől dorsalisan nem volt differenciálható, itt élesen választottuk le, majd rekonstruáltuk a rekeszizmot. A műtét során az elváltozás tokja nem sérült. A cell-saver (Fresenius CATSmart, tumorfilterrel) alkalmazásával nyert 225 ml vért a betegnek visszaadtuk. Műtéti vérvesztés összesen 1200 ml volt, az autotranszfúzió mellett 2 egység vörösvértest-koncentrátumot is kapott intraoperatívan a beteg.


A posztoperatív szak eseménytelenül telt: rövid intenzív (21 óra), majd sebészeti osztályos ápolás után (3 nap) a beteget otthonába bocsátottuk. A kivizsgálást elindító panasza, a folyamatos derékfájdalom a műtét másnapján megszűnt.
Kórszövettani vizsgálat során érkeztetéskor 2860 g tömegű, 19×18×14 cm-es, vaskos kötőszövetes tokkal rendelkező preparátumot írtak le (9. ábra). A mikroszkópos vizsgálat során szinte mindenütt szervült véralvadékot találtak, a széli részeken, illetve a mélybe nyúló kötőszövetes sövényeken elszórtan jellegzetes fészkes, köteges elrendeződésben a zona fasciculata és a zona reticularis sejtjei voltak azonosíthatók (7. ábra). Osztódás nem volt észlelhető, malignitásra utaló jelet nem találtak. Patológiai vélemény: régi, szervült haematoma szövettani képe a jobb mellékvesében.

A sebészeti kontroll során reakciómentesen gyógyult hasi sebet észleltünk, a kórszövettani lelet alapján további sebészi teendő nem merült fel. Esetünk különlegessége, hogy a kórszövettan végül régi, szervült haematoma jelenlétét igazolta, amely ritka, de ismert entitás a mellékvesében. Az ilyen elváltozások patogenezise gyakran trauma vagy vérzéses infarktus következménye. Esetünkben feltételezhető, hogy a felkartörést is okozó trauma következménye lehetett a bevérzés, annak ellenére, hogy a dokumentáció alapján betegünk bal felkarját és fejét sértette, hasi panasza nem volt, traumatológiai ellátása során anémiát nem észleltek, hasi képalkotó vizsgálat nem történt.
A beteget a műtét óta rendszeres nefrológiai és endokrinológiai gondozásban részesítik. A nefrológiai vélemény szerint a már a műtét előtt is észlelt csökkent vesefunkció az életkorából és a kísérő alapbetegségeiből származó krónikus veseelégtelenség (KDIGO CKD 3b, A1), dialízist nem igényel, jelenleg életmóddal karbantartott, követés alatt áll. Az endokrinológiai utánkövetés során hormonszint-meghatározás, laborvizsgálat, vércukorszintmérés és képalkotó vizsgálatok történnek. Hormonpótlás szükségessége nem merült fel, és az elmúlt három év képalkotó vizsgálatai során kóros eltérést nem írtak le.
Megbeszélés, következtetés
A mellékvese-térfoglalások diagnosztikai és terápiás dilemmái jól példázódnak esetünkben: korszerű képalkotó és hormonális vizsgálatok ellenére a térfoglalások dignitása teljes bizonyossággal nem meghatározható (9). A biopszia jelenlegi irányelvek alapján nem javasolt, néhány ritka kivételtől eltekintve (4). Esetünk során eredményének terápiás konzekvenciája nem lett volna, potenciális szövődményeit figyelembe véve, az előny-kockázat gondos mérlegelése alapján az in toto sebészi eltávolítás jelentette az egyetlen adekvát megoldást (10). Annak ellenére, hogy biztos szövettani diagnózist preoperatíve nem kaptunk, a kompressziós tünetekre és a radiológiailag kifejezett malignitásgyanúra tekintettel további időigényes vizsgálatra nem volt mód (izotópos vizsgálat, angiográfia, MR, SPECT stb.). A műtéti megoldás tervezésénél minimálinvazív lehetőség hiányában többirányú, exploratív megközelítésre nem volt mód, ezért a lehető legoptimálisabb műtéti metszést kellett tervezni, amelyből mind az elváltozás eltávolítása, mind a lehetséges nagyérkatasztrófák elhárítása (magas cavakirekesztés, aortakirekesztés a lumbális ágak megkímélése mellett, zsigeri ágak rekonstrukciója, esetleges transzpozíciója) is elvégezhető. A műtéthez speciális műtéti környezet, eszközpark biztosítása volt szükséges (érkirekesztő katéterek, tumorfilteres cell-saver, nagy energiájú disszekciós eszközök és felkészülés masszív transzfúzióra). A megváltozott hasi keringési viszonyok miatt az intenzív háttér biztosítása is elengedhetetlen volt.
Enormis méretű vagy jelentős hormonaktivitású mellékvese-térfoglalások esetén multidiszciplináris team szükséges a kivizsgálás és a perioperatív ellátás során. A műtéti ellátás során a teamnek mind aneszteziológiai, mind sebészi oldalról felkészültnek kell lennie a váratlan intraoperatív kihívásokra és komplikációkra, amelyek a nem hormontermelő, de nagyméretű tumorok esetén leggyakrabban a vena hepatica, a vena cava inferior, illetve a vena renalis sérüléséből fakadó masszív vérzés, illetve a dekompresszióból adódó keringés-összeomlás lehetnek.
Köszönetnyilvánítás
A szerzők köszönetet mondanak dr. Móga Kristóf Jánosnak a műtéti képek elkészítéséért és rendelkezésünkre bocsátásáért, valamint az endokrinológiai, a radiológiai és a patológiai osztálynak a segítő munkájukért.
Rövidítések: ACTH=adrenokortikotróp hormon; CgA=chromogranin A; CKD=chronic kidney disease (krónikus vesebetegség); CT=komputertomográfia; DHEA-S=dehidroepiandroszteron-szulfát; KDIGO=Kidney Disease: Improving Global Outcomes; MR=mágneses rezonanciás vizsgálat; SPECT=egyfoton-emissziós komputertomográfia
Irodalom
https://doi.org/10.1530/EJE-16-0467
2. Kebebew E, Reiff E, Duh QY, et al. Extent of disease at presentation and outcome for adrenocortical carcinoma: Have we made progress? World J Surg 2006; 30(5): 872–878.
https://doi.org/10.1007/s00268-005-0329-x
3. Bagheri F, Mahjoor Azad E, Kotiesh K, et al. Surgical removal of a giant non-functional adrenal mass: A case report. Urol Case Rep 2024 Jun 28; 55: 102784. https://doi.org/10.1016/j.eucr.2024.102784
4. Terzolo M, Stigliano A, Chiodini I, et al. AME position statement on adrenal incidentaloma. Eur J Endocrinol 2011; 164(6): 851–870.
https://doi.org/10.1530/EJE-10-1147
5. Libé R. Adrenocortical carcinoma (ACC): diagnosis, prognosis, and treatment. Front Cell Dev Biol 2015; 3: 45.
https://doi.org/10.3389/fcell.2015.00045
6. Lorenz K, Langer P, Niederle B, et al. Surgical therapy of adrenal tumors: guidelines from the German Association of Endocrine Surgeons (CAEK). Langenbecks Arch Surg 2019 Jun; 404(4): 385–401.
https://doi.org/10.1007/s00423-019-01768-z
7. Viswanath A, Dales J, Shah V, et al. Management of a giant adrenal schwannoma. BMJ Case Rep 2024 Jul 5; 17(7): e260183.
https://doi.org/10.1136/bcr-2024-260183
8. Hogea M, Hogea A, Moga M, et al. Giant adrenal myelolipomas: a literature review. J Mind Med Sci 2024; 11: 345–350.
https://doi.org/10.22543/2392-7674.1522
9. Reginelli A, Vacca G, Belfiore M, et al. Pitfalls and differential diagnosis on adrenal lesions: current concepts in CT/MR imaging: a narrative review. Gland Surg 2020 Dec; 9(6): 2331–2342.
https://doi.org/10.21037/gs-20-559
10. Bulátkó B, Domján I. Transabdominalis biopsziát követően kialakult mellékvesetályog műtéti megoldása. Magyar Urológia 2022; 34(2): 84–88.
https://doi.org/10.22591/magyurol2022.2.bulatkob.84